男孩被同學用激光玩具照射眼睛 視力受損
激光可以產生熱效應、沖擊波效應和電磁波效應而對視網膜產生損傷,特別是視網膜色素上皮和脈絡膜含有色素,容易吸收熱能而致組織受損。
激光照射視力受損
本報訊(記者 李惺)同學之間開玩笑,小王(化名)被用激光玩具照了眼睛,導致其右眼黃斑部損傷,意味著右眼視力很難恢復。

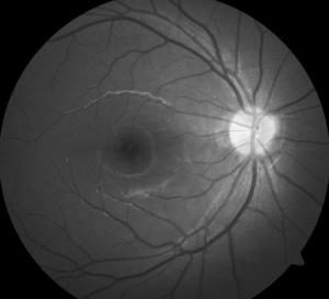
右眼黃斑色素紊亂瘢痕。本報記者 李惺 攝
近日,一位母親急匆匆帶著自己12歲的兒子來到石家莊市第二醫院眼科,做免散瞳眼底照相,孩子媽媽臉上滿是焦慮。經醫生仔細詢問病史得知,原來小王于一個月前宿舍熄燈后,同學之間開玩笑,被同宿舍的同學拿的激光玩具照了眼睛,出現了視力下降,于當地醫院就診后被建議轉院治療。
隨后,醫生建議小王進行免散瞳眼底照相檢查,結果顯示:小王右眼黃斑部可見兩個圓圈狀和一個線狀色素紊亂瘢痕。“看到這個結果讓人不禁感到惋惜,黃斑的損傷是不可逆的,這意味著孩子的右眼視力很難恢復。”市二院眼科醫生王改欣告訴記者。
王改欣介紹,激光可以產生熱效應、沖擊波效應和電磁波效應而對視網膜產生損傷,特別是視網膜色素上皮和脈絡膜含有色素,容易吸收熱能而致組織受損,由于視網膜組織受熱效應而組織膨脹產生沖擊波致組織損傷。根據激光的功率大小及損傷部位的不同,可造成視力不同程度的損傷。
“激光廣泛應用于醫學、工業、農業及其他領域,使用不當可造成眼底組織受傷。”王改欣說,如今激光卻成為玩具出現在孩子中間,并且造成這么大的傷害。
為此,王改欣希望相關監管部門對此類商品的生產、流通進行管制。同時,學校和家長應該加強對孩子的安全教育,提高孩子的自我保護意識,發現此類玩具應制止,以免傷害自己和他人,一旦眼睛被激光照射,應立即就醫治療。
